
ถ้าคุณต้องถ่ายรูป พูดคุยกับคนอื่นๆ หรือแม้กระทั่งต้องไปออกงานสังคมบ่อยๆ
“จัดฟันใส” คือคำตอบสำหรับการมีรอยยิ้มที่สวยงาม
โดยทันตแพทย์เฉพาะทาง ที่ได้รับความวางใจจากคนดังที่คุณชื่นชอบ

เพราะเราเป็นคลินิกทันตกรรมที่เชื่อถือได้ Bangkok New Smile เป็นคลินิกทันตกรรมเพื่อความงาม ซึ่งเปิดให้บริการมาแล้วกว่า 10 ปี ดูแลโดยทีมทันตแพทย์มากประสบการณ์ พร้อมด้วยเทคโนโลยีทางทันตกรรมที่ทันสมัยระบบปลอดเชื้อที่ปลอดภัยและเจ้าหน้าที่ผู้เชี่ยวชาญด้านสุขภาพช่องปาก
การันตีมาตรฐานด้วยรางวัล Invisalign Platinum Elite Provider เราจึงได้รับความไว้วางใจจากผู้มารับบริการถึงคุณภาพ ผลตอบรับ และมาตรฐานระดับสูงในทุกขั้นตอนการรักษา
ปัจจุบันคลินิกเปิดให้บริการ 2 สาขา ได้แก่ สาขารัชดาภิเษก (ใกล้แยกรัชดา – ลาดพร้าว) และสาขาเซียร์ รังสิต


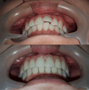
Invisalign คือ เครื่องมือจัดฟันชนิดครอบใส ถอดได้ ทำจากแผ่นโพลิเมอร์ บางๆ ใสๆ ยืดหยุ่นมาก เมื่อครอบทับลงบนฟันทั้งหมดจะสามารถเคลื่อนฟันได้อย่างดีเยี่ยม ด้วยเทคโนโลยีสร้างภาพสามมิติขั้นสูงโดยระบบคอมพิวเตอร์ที่ผลิตจากแลปในประเทศสหรัฐอเมริกา สามารถออกแบบ และผลิตชิ้นงานครอบใสเฉพาะบุคคล ที่ใส่ได้พอดีกับฟันของคุณ ชิ้นงาน (Aligner) แต่ละชิ้นจะปรับเปลี่ยนตำแหน่งฟันของคุณไปเรื่อยๆ อย่างค่อยเป็นค่อยไป จนฟันเคลื่อนเข้าสู่ตำแหน่งที่เหมาะสมและถูกต้อง คนไข้จะต้องเปลี่ยนใส่ Aligner ชิ้นใหม่ทุกๆ 1-2 สัปดาห์ และควรมาพบหมอทุกๆ 1- 2 เดือน เพื่อตรวจพัฒนาการของการเคลื่อนฟัน
การจัดฟันใสแบบ Invisalign เริ่มต้นที่การสแกนฟัน 3 มิติด้วยเครื่องสแกนฟัน iTero Element 5D Plus เพื่อให้ได้มาซึ่งแผนการจัดฟันในรูปแบบแผนจำลองการเคลื่อนฟัน 3 มิติ อุปกรณ์จัดฟันที่ทำขึ้นจากวัสดุ SmartTrack® จะถูกส่งมายังคลินิก โดยคนไข้จะต้องใส่ชิ้นงานแต่ละชิ้นตามคำสั่งของ ทันตแพทย์ ระยะเวลาการใส่ Invisalign มักอยู่ที่ชิ้นละ 1-2 สัปดาห์ ชิ้นงาน Invisalign จะค่อยๆทำการเคลื่อนฟันด้วยแรงที่เบาและเหมาะสมอย่างต่อเนื่อง ในบางกรณีอาจมีการติดปุ่มเคลื่อนฟัน (Attachments) เพื่อช่วยในการกำหนดทิศทางการเคลื่อนฟันเพื่อให้การเรียงตัวของฟันค่อยๆเคลื่อนไปตามแผนการจัดฟันที่ทันตแพทย์กำหนดไว้

เราแจ้งราคาชัดเจนตั้งแต่วันที่เข้ามาปรึกษา และมีโปรแกรมการชำระที่ชัดเจน การบริการด้วยราคาไม่สูงเกินไป เพื่อให้คุณสามารถเข้าถึงบริการได้ง่าย
คุณจะได้รับแผนการรักษา ภาพ 3D simulation และ ภาพนิ่งทุกมุม เพื่อให้คุณได้เห็นการเคลื่อนฟัน และสามารถเก็บภาพไว้กับคุณตลอดไป
ด้วยประสบการณ์จัดฟันมานาน และความใจดีของคุณหมอ เราจึงมีเคสตัวอย่างมากมาย แม้แต่เคสฟันเกมากๆ ฟันห่างเยอะ เคสถอนฟัน คุณหมอยินดีให้คุณได้ดูเทียบเคียงผลการรักษาก่อนตัดสินใจ
เราจะใช้เครื่องสแกนฟัน ชื่อ Itero ชนิดพิเศษของ Invisalign สามารถบันทึกลักษณะฟันได้ทั้งปาก แล้วยังออกแบบและประมวลผลการจัดฟันเบื้องต้นได้ในเวลาอันรวดเร็ว คุณสามารถดูและเปรียบเทียบ Before และ After ของการจัดฟัน ได้ในทันทีที่สแกนเสร็จ

คุณต้องทำนัดเข้ามาพบคุณหมอเพื่อให้คำปรึกษา และตรวจฟันก่อน ถ้าหากคุณตกลงจัดฟัน คุณหมอจะพิมพ์ฟันเพื่อเก็บข้อมูลละเอียดก่อนเริ่มต้นการรักษา พร้อมกับ X-ray และเริ่มต้นเคลียร์ช่องปากจนเสร็จ
**หมายเหตุ : ขั้นตอนการเคลียร์ช่องปาก และค่ารักษาของการเคลียร์ช่องปากในคนไข้แต่ละคนจะแตกต่างกัน ทั้งนี้ขึ้นอยู่สุขภาพฟันของแต่ละบุคคล**


คุณหมอจะถ่ายรูปเก็บข้อมูลอย่างละเอียด และสแกนฟัน เพื่อนำไปวางแผนการรักษา พร้อมแสดงภาพก่อนและหลังจัดฟันเบื้องต้น
ไม่เกิน 2 สัปดาห์ คุณหมอจะนัดคนไข้มาฟังคำอธิบายแผนการรักษาด้วยโปรแกรม VDO ClinCheck 3D Simulation แสดงขั้นตอนการจัดฟันตั้งแต่ต้นจนจบเป็นภาพสามมิติเสมือนจริง ซึ่งหากคุณพอใจกับผลลัพธ์ที่ได้ คุณหมอจะสั่งผลิต Aligners ตัวจริงมาให้


ใช้เวลาไม่เกิน 1 เดือน คุณจะได้ใส่ Aligner ชิ้นแรก หลังจากนั้นคุณหมอจะนัดทุก 1 – 3 เดือน เพื่อมาตรวจการเคลื่อนของฟัน ปรับแต่งรูปร่างฟัน ปรับการสบฟัน ตรวจสภาพ attachment และรับ Aligners ชุดใหม่ไปใส่เรื่อยๆจนกว่าจะครบทุกชิ้น
หลังจากจัดฟันเสร็จ คุณหมอจะให้ทำรีเทนเนอร์ เพื่อใส่คงสภาพฟันป้องกันไม่ให้ฟันกลับไปมีปัญหาซ้ำ











สาขา เซียร์รังสิต
สาขา รัชดาภิเษก

ฟันกรามน้อย ที่มีการผุลุกลามเข้าถึงโพรงประสาทฟัน นำมาซึ่งอาการปวดฟันอย่างรุนแรง เหงือกบวมเป็นหนอง บางครั้งมีฟันดำ โยก และหนองอาจลุกลามไปยังอวัยวะไกล้เคียงเช่น เบ้าตา โพรงอากาศใต้โหนกแก้ม (ไซนัส) ทางเลือกรักษาที่เหมาะสมสำหรับฟันที่ติดเชื้อแบบนี้คือ การรักษาคลองรากฟันและโพรงประสาทฟัน ซึ่งเป็นการรักษาที่ยุ่งยาก ซับซ้อน ต้องใช้ความร่วมมือของคนไขัเป็นอย่างมาก และเป็นการรักษาแบบต่อเนื่อง การรักษาจึงจะสำเร็จสมบูรณ์ และโดยทั่วไปแล้วหลังรักษาคลองรากฟันเสร็จ ต้องบูรณะฟันซี่นั้นๆด้วยการทำเดือยฟันและครอบฟัน เพื่อป้องกันฟันซี่นั้นๆหักหรือแตก
[1] สำหรับกระบวนการทำครอบฟัน หรือ วีเนียร์เคลือบฟันเทียมนั้น ปกติจะใช้ระยะเวลาตั้งแต่เตรียมฟัน พิมพ์ฟัน ส่งรอยพิมพ์ฟันไปที่แลป ลองและใส่ชิ้นงานที่ฟันคนไข้ รวมแล้ว ประมาณ 2-3 การนัดหมาย และใช้เวลาประมาฯ 7-14 วัน ขึ้นกับความยากง่าย และชนิด จำนวนของซี่ฟันที่รักษา

ฟันหน้า ที่มีการผุลุกลามเข้าถึงโพรงประสาทฟัน นำมาซึ่งอาการปวดฟันอย่างรุนแรง เหงือกบวมเป็นหนอง บางครั้งมีฟันดำ โยก และหนองอาจลุกลามไปยังอวัยวะไกล้เคียงเช่น เบ้าตา โพรงอากาศใต้โหนกแก้ม (ไซนัส) ทางเลือกรักษาที่เหมาะสมสำหรับฟันที่ติดเชื้อแบบนี้คือ การรักษาคลองรากฟันและโพรงประสาทฟัน ซึ่งเป็นการรักษาที่ยุ่งยาก ซับซ้อน ต้องใช้ความร่วมมือของคนไขัเป็นอย่างมาก และเป็นการรักษาแบบต่อเนื่อง การรักษาจึงจะสำเร็จสมบูรณ์ และโดยทั่วไปแล้วหลังรักษาคลองรากฟันเสร็จ ต้องบูรณะฟันซี่นั้นๆด้วยการทำเดือยฟันและครอบฟัน เพื่อป้องกันฟันซี่นั้นๆหักหรือแตก
[1] สำหรับกระบวนการทำครอบฟัน หรือ วีเนียร์เคลือบฟันเทียมนั้น ปกติจะใช้ระยะเวลาตั้งแต่เตรียมฟัน พิมพ์ฟัน ส่งรอยพิมพ์ฟันไปที่แลป ลองและใส่ชิ้นงานที่ฟันคนไข้ รวมแล้ว ประมาณ 2-3 การนัดหมาย และใช้เวลาประมาฯ 7-14 วัน ขึ้นกับความยากง่าย และชนิด จำนวนของซี่ฟันที่รักษา

ในกรณีที่รอยผุ ลึกไกล้โพรงประสาทฟัน หรือกว้าง หรือผุลุกลามลงไปใต้เหงือก หรือคาดว่าจะใช้เวลาในการรักษาฟันซี่นั้นๆนาน ทันตแพทย์จะทำการฉีดยาชาก่อนที่จะกรอฟัน เพื่อช่วยลดอาการเสียวฟัน ลดอาการเจ็บเหงือก ลดความกังวลของทั้งผู้ป่วยและทันตแพทย์ ทำให้การรักษาสำเร็จรวดเร็วขึ้น

Glass Ionomer เป็นวัสดุอุดชนิดพิเศษ ที่มีองค์ประกอบเป็นฟลูออไรด์ ใช้สำหรับอุดฟันที่คาดว่าจะเสี่ยงต่อการเสียวฟันหลังอุด อีกทั้งวัสดุชนิดนี้ยังสามารถกระตุ้นและเสริมสร้างการเกิดเนื้อฟันใหม่ได้อีกด้วย

ในบางครั้ง รอยผุที่กว้างและลึกไกล้โพรงปประสาทฟัน เสี่ยงต่อการเสียวฟันหรือปวดฟัน ทันตแพทย์จะยังไม่ทำการอุดถาวรในทันที โดยทั่วไปแล้วจะทำการกรอเอารอยผุและแบคทีเรียออกให้หมด จากนั้นจะทำการใส่ยาและฟลูออไรด์ลงไปในโพรงฟัน แล้วอุดด้วยวัสดุอุดชั่วคราว เพื่อสังเกตุอาการ หากมีอาการเสียวฟันหรือปวดฟันซี่นั้นๆในระหว่างที่รอสังเกตุอาการ ทันตแพทย์จะทำการรักษารากฟันเพื่อเก็บฟันซี่นั้นไว้ แต่ถ้าหากไม่มีอาการผิดปกติใดๆในระหว่างสังเกตุอาการ เมื่อครบกำหนดเวลา ทันตแพทย์จะทำการอุดฟันซี่นั้นๆด้วยวัสดชนิดุถาวร ตามความเหมาะสม

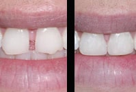
ช่องฟันหน้าห่าง เสียบุคลลิกภาพ ทำให้ท่าน ไม่กล้าพูด ยิ้ม และออกเสียงไม่ชัดเจน การแก้ไขช่องฟันหน้าห่างด้วยการอุดฟันด้วยวัสดุสีขาวมุก เป็นอีกทางเลือกหนึ่งที่รวดเร็ว ง่าย แล้วยังได้ฟันที่รูปร่างสวยงาม เหมาะสม เสริมสร้างบุคลิกภาพ ให้ท่านยิ้มกว้างๆได้อย่างมั่นใจไม่จำเป็นต้องซ่อนรอยยิ้มอีกต่อไป

การเคลือบหลุมร่องฟัน เป็นการใช้ฟลูออไรด์เหลวสีขาวมุก นำมาทาลงบนด้านบดเคี้ยวของฟัน หรือตามหลุมร่องฟันที่ลึกและแคบโดยเฉพาะฟันกราม เพื่อป้องกันฟันผุ โดยทั่วไปฟันมักจะผุตามหลุมร่องฟันก่อนผุบริเวณผิวเรียบ เพราะหลุมร่องฟันนั้นลึก ยากแก่การเข้าถึงของขนแปรงสีฟัน น้ำยาบ้วนปาก จึงง่ายต่อการอาศัยอยู่ของแบคทีเรียซึ่งก่อให้เกิดฟันผุ ดังนั้นควรเคลือบหลุมร่องฟันไว้ก่อนที่จะเกิดฟันผุ จะเป็นการป้องกันที่ดีที่สุด และเก็บรักษาฟันที่คุณรักให้สมบูรณ์แข็งแรง

อินเลย์และออนเลย์ เป็นการบูรณะฟันอีกรูปแบบหนึ่ง มักใช้สำหรับอุดทดแทนเนื้อฟันที่เสียหายไปมากกว่า40 %ของเนื้อฟัน 1ซี่ โดยการทำการบูรณะแบบ อินเลย์ออนเลย์นี้ มีทั้งแบบใช้วัสดุอุดเรซินสีเหมือนฟัน วัสดุชนิดเซรามิก ทอง และเงิน มาขึ้นรูปเป็นชิ้นงานนอกช่องปาก แล้วนำชิ้นงานนั้นๆไปยึดติดในรูฟันที่กรอเตรียมไว้แล้ว ด้วยซีเมนต์ทางทันตกรรม การอุดฟันด้วยวิธีนี้จะแข็งแรงมากกว่าการอุดแบบธรรมดา

Amalgam filler เป็นวัสดุชนิดโลหะ สีเงิน ใช้สำหรับอุดฟันที่ต้องการความแข็งแรง หรือเมื่อทันตแพทย์พิจารณาแล้วว่า ไม่สามารถหรือไม่สมควรที่จะอุดด้วยวัสดุสีขาวมุกได้ โดยทั่วไปมักใช้อุดฟันกรามที่ต้องการความแข็งแรงสูง เพื่อใช้ในการบดเคี้ยว หรือบริเวณที่เข้าทำความสะอาดยาก เป็นต้น

Composite resin หรือ วัสดุอุดฟันเรซินสีขาว เป็นวัสดุอุดฟันที่สร้างขึ้นมาเพื่อเลียนแบบสี ความมันวาว ความแข็งแรง ให้คล้ายคลึงกับฟันธรรมชาติ จึงเหมาะสำหรับใช้อุดฟันที่ต้องการความสวยงาม เช่นฟันหน้า ฟันเขี้ยว อีกทั้งยังใช้แก้ไขฟันหน้าห่าง ฟันสีเหลืองหรือคล้ำเฉพาะซี่ หรือแปะทับผิวฟันเพื่อเปลี่ยนสีฟันให้ขาวขึ้นทั้งปากก็ได้ ทั้งนี้ขึ้นกับดุลยพินิจของทันตแพทย์ผู้ทำการรักษา


แอร์โฟว์ เป็นเทคโนโลยีสมัยใหม่ ที่นำผงเคมีที่ปลอดภัย และมีรสเค็มคล้ายเกลือ มาพ่นรวมกับลมและน้ำ ด้วยเครื่องพ่นแรงดันสูง เมื่อพ่นไปที่ใดก็จะซอกซอนเข้าไปทำความสะอาดได้ลึกกว่าการขัดฟันแบบธรรมดา อีกทั้งยังขจัดคราบฝังแน่นต่างๆเช่น คราบบุหรี่ ชา กาแฟ ไวน์ ออกได้อย่างสะอาดหมดจด ในเวลาอันรวดเร็ว

ขูดหินปูน เพื่อให้ฟันสะอาด ขจัดคราบแบคทีเรียที่ติดอยู่ตามตัวฟัน ร่องฟัน กระพุ้งแก้มและลิ้น ด้วยเครื่องมือที่ทันสมัย ปลอดภัย และ รวดเร็ว การขูดหินปูนควรทำอย่างน้อย 6 เดือนครั้ง เพื่อป้องกันการเกิดกลิ่นปาก ฟันผุและโรครำมะนาด อันเป็นเหตุให้ฟันโยกคลอนและหลุดออกได้

เป็นการ X – Ray เฉพาะซี่ฟันแต่ละซี่ โดยใช้ แผ่น sencor ขนาดเล็ก เพื่อตรวจความผิดปกติของฟันเป็นซี่ๆ ใช้ประกอบการตรวจหาฟันผุ หินปูน ความผิดปกติของกระดูกรอบรากฟัน เป็นต้น

X-Ray กระโหลกศรีษะเพื่อการตรวจความผิดปกติของช่องปาก กระโหลกศรีษะ ขากรรไกร ใบหน้า เพื่อใช้ประกอบการจัดฟันและการรักษาอื่นๆตามต้องการ

Dental cone beam computed tomography (CT) คือ เทคนิกพิเศษ ที่ใช้เพื่อการถ่ายภาพ กระดูก และ อวัยวะแข็งในช่องปากชนิด 3 มิติ ช่วยในการวินิจฉัยความผิดปกติของกระดูก บริเณศรีษะ และใบหน้า ซึ่งภาพที่ได้จะมีรายละเอียดมากกว่าการถ่ายภาพรังสีแบบปกติ

X-Ray กระโหลกศรีษะเพื่อการจัดฟัน และการตรวจช่องปากทั้งฟัน กระดูกขากรรไกร ข้อต่อขากรรไกร โพรงอากาศใต้โหนกแก้ม โพรงจมูก และกระดูกคอ เพื่อใช้ประกอบการจัดฟันและการรักษาอื่นๆที่ต้องการ

บริการตรวจสุขภาพช่องปากและฟันด้วยวัสดุและอุปกรณ์ที่ทันสมัย ปลอดภัย ได้มาตรฐาน เพื่อประกอบการวางแผนการรักษาที่ถูกต้อง เหมาะสมสำหรับเฉพาะบุคคล ให้ท่านได้รับการรักษาที่ถูกต้อง รวดเร็ว แม่นยำ ราคาค่ารักษาย่อมเยา เข้าถึงได้ง่าย เรามีทันตแพทย์และทีมงานที่มีประสบการณ์สูงพร้อมดูแลท่านทุกวัน

เป็นหมุดดึงฟันที่ทำมาจากวัสดุไทเทเนียม ออกแบบเป็นสกรูขนาดเล็ก เพื่อใช้ในการเพิ่มความสามารถในการเคลื่อนฟันให้เร็วกว่าวิธีการจัดฟันแบบปกติ มักใช้ในกรณีที่การจัดฟันแบบติดแน่นมีแรงไม่มากพอ ทันตแพทย์จะเลือกใช้หมุดนี้เพื่อช่วยดึงฟันเสริม จากการจัดแบบปกติ และเมื่อเสร็จสิ้นการรักษาจึงจะนำออก โดยหมุดดึงฟันนี้ไม่เป็นอันตรายต่อร่างกาย มีความปลอดภัยและได้มาตรฐาน

เป็นชิ้นเรซินใส ที่ออกแบบเฉพาะบุคคล เพื่อให้สวมใส่ในระหว่างนอนหลับ เพื่อช่วยป้องกันการกัด เสียดสีกันของฟัน อันเป็นเหตุให้เกิดฟันสึก และเสียงดังรบกวน อีกทั้งการนอนกัดฟันยังทำให้ปวดกล้ามเนื้อ ปวดฟัน และข้อต่อขากรรไกรอักเสบและยังเป็นเหตุให้ใบหน้าสั้นลงได้อีกด้วย

เป็นรีเทนเนอร์ชนิดฐานอะคริลิก โดยมีเส้นลวด ออกแบบไว้สำหรับควบคุม คงสภาพ และตำแหน่งและการกัดสบฟัน ยึดเส้นลวดด้วยพลาสติก เพื่อสวมใส่คร่อมฟันไว้ มีความแข็งแรงทนทาน อีกทั้งสีของพลาสติกยังสามารถเลือกได้ตามความชอบ

เครื่องมือคงสภาพฟัน หรือรีเทนเนอร์ มีหน้าที่ในการคงสภาพฟันให้เรียงและสบฟันปกติ โดยจะใช้หลังจากที่นำเครื่องมือจัดฟันออก โดยผู้ที่รับการจัดฟันทุกท่าน ต้องใส่รีเทนเนอร์ มิเช่นนั้นฟันจะมีการสูญเสียการควบคุม เกิดการล้มเก ห่าง ยื่น และ มีผลเสียต่อความสวยงามและการบดเคี้ยว รีเทนเนอร์แบบใสถอดได้ มีข้อดีคือ ควบคุมฟันได้ทั้งซี่ ผลิตจากรอยพิมพ์ฟันเฉพาะบุคคล จึงมีขนาดพอดี กระชับ ใส่สบาย ไม่ระคายเคือง ใส หลังสวมใส่จึงมองไม่เห็นเครื่องมือ

เป็นการจัดฟันแบบติดแน่นที่ใช้วัสดุแบบพิเศษ เรียกว่า ดามอนเคลียร์ (Damon Clear braces)ซึ่งเป็นเครื่องมือนวัตกรรมใหม่ ผลิตขึ้นมาเพื่อให้เคลื่อนฟันได้ง่าย และรวดเร็ว ซึ่งวัสดุชนิดนี้เซรามิกสีขาวนี้มีขนาดเล็ก สังเกตุเห็นยาก มีความเรียบ และลื่น จึงลดการระคายเคืองต่อเนื้อเยื่อช่องปาก ราคาย่อมเยาและสามารถผ่อนชำระได้ตลอดการรักษา

เป็นการจัดฟันแบบติดแน่นที่ใช้วัสดุแบบพิเศษ เรียกว่า ดามอนสีเงิน (Damon Q braces) ซึ่งเป็นเครื่องมือนวัตกรรมใหม่ ผลิตขึ้นมาเพื่อให้เคลื่อนฟันได้ง่าย และรวดเร็ว เหล็กจัดฟันมีขนาดเล็ก เรียบ และลื่น จึงลดการระคายเคืองต่อเนื้อเยื่อช่องปาก ราคาย่อมเยาและสามารถผ่อนชำระได้ตลอดการรักษา

เป็นการจัดฟันแบบติดแน่นโดยใช้เหล็กจัดฟันสีเงิน(Metal braces) ติดด้านหน้าของผิวฟัน เพื่อควบคุมทิศทางการเคลื่อนของฟัน และสามารถเรียงฟันให้สวยพร้อมทั้งสร้างการสบฟันที่ถูกต้องได้ มีข้อดีคือ ราคาย่อมเยาและผ่อนชำระได้ สามารถรักษาได้สำเร็จรวดเร็ว และเลือกสีของยางจัดฟันได้ตามต้องการ แต่บุคคลอื่น ก็สามารถเห็นเครื่องมือได้ชัดเจนกว่าวิธีจัดติดแน่นด้านใน

เป็นการจัดฟันแบบติดแน่น ที่ใช้วัสดุแบบเซรามิกขาว (Ceramic braces) มายึดติดกับผิวฟันด้านหน้า เพื่อใช้ควบคุมทิศทางการเคลื่อนของฟัน มีข้อดีคือ บุคคลอื่นมองเห็นวัสดุชนิดนี้ได้ไม่ชัดเจน อีกทั้งมีราคาย่อมเยาและสามารถผ่อนชำระได้ตลอดการรักษา แต่ก็มีข้อด้อยคือ เปราะและแตกหักง่ายเมื่อเทียบกับ วัสดุแบบโลหะ

อินวิซาไลน์ (Invisalign) คือ การจัดฟันแบบใส ลิขสิทธิิ์จากประเทศสหรัฐอเมริกา ที่ใช้ชุดของเครื่องมือซึ่งถูกออกแบบมาเฉพาะบุคคล โดยในขณะสวมใส่ยากที่ผู้ใดจะมองเห็นได้ว่าท่านจัดฟันอยู่ ไม่ว่าปัญหาของท่านจะเป็นฟันห่าง ฟันซ้อนเก ฟันยื่น แก้ไขการสบฟัน สามรถจัดฟันได้ทั้งผู้ที่เคยหรือไม่เคยจัดฟันมาก่อน

การจัดฟันแบบใหม่ “Clear Aligner” คือ การจัดฟันแบบถอดได้ โดยใช้พลาสติกครอบฟันชนิดใสเฉพาะบุคคล สวมทับลงบนฟันทั้งปาก เพื่อควบคุมการเคลื่อนของฟันให้เรียงสวย เข้ารูปตามต้องการ ภายในเวลาอันรวดเร็ว อีกทั้งยังมีราคาย่อมเยา และสามารถผ่อนชำระได้ตลอดการรักษา (นำพลาสติกใสคุณภาพมาตรฐานจากอเมริกา นำมาออกแบบและขึ้นรูปเป็นครอบฟันใสที่แลปในประเทศไทย)

รากฟันเทียมขนาดเล็ก ผลิตจากวัสดุไทเทเนียมที่ออกแบบมาเพื่อเลียนแบบรูปร่างของรากฟันจริง ใช้พิเศษสำหรับรองรับฟันปลอมแบบถอดได้ โดยจะใส่ลงไปบริเวณสันเหงือกฟันบนด้านหน้าประมาณ 2 ตัว และฟันล่างด้านหน้าประมาณ 2 ตัว โดยออกแบบฟันปลอมให้มีตัวยึดสำหรับlockพิเศษกับรากฟันเทียมนี้
[1] สำหรับกระบวนการทำครอบฟัน หรือ วีเนียร์เคลือบฟันเทียมนั้น ปกติจะใช้ระยะเวลาตั้งแต่เตรียมฟัน พิมพ์ฟัน ส่งรอยพิมพ์ฟันไปที่แลป ลองและใส่ชิ้นงานที่ฟันคนไข้ รวมแล้ว ประมาณ 2-3 การนัดหมาย และใช้เวลาประมาฯ 7-14 วัน ขึ้นกับความยากง่าย และชนิด จำนวนของซี่ฟันที่รักษา

รากฟันเทียม คือ วัสดุไทเทเนียม ที่นำมาขึ้นรูปเลียนแบบรากฟันมนุษย์ โดยเป็นวัสดุที่ปลอดภัยและเข้าได้ดีกับเนื้อเยื่อ และ เมื่อนำรากฟันเทียม มาใส่ทดแทนบริเวณที่ถอนฟันออกไป รากฟันเทียมจะทำหน้าที่รองรับครอบฟัน และสามารถรับหน้าที่คล้ายฟันจริง ใช้บดและตัดอาหารได้ ทำความสะอาดง่าย ไม่เกิดการผุกร่อน ในส่วนของครอบฟันมีให้เลือกหลายชนิด ชนิดที่เป็นเซรามิกล้วน จะมีความแข็งแรงและสวยงาม เหมือนฟันธรรมชาติมากที่สุด ดังนั้น ครอบฟันชนิดนี้จึงเหมาะสำหรับ ฟันหน้า ที่ต้องการความสวยงามและเสมือนจริงที่สุด
[1] สำหรับกระบวนการทำครอบฟัน หรือ วีเนียร์เคลือบฟันเทียมนั้น ปกติจะใช้ระยะเวลาตั้งแต่เตรียมฟัน พิมพ์ฟัน ส่งรอยพิมพ์ฟันไปที่แลป ลองและใส่ชิ้นงานที่ฟันคนไข้ รวมแล้ว ประมาณ 2-3 การนัดหมาย และใช้เวลาประมาฯ 7-14 วัน ขึ้นกับความยากง่าย และชนิด จำนวนของซี่ฟันที่รักษา

รากฟันเทียม คือ วัสดุไทเทเนียม ที่นำมาขึ้นรูปเลียนแบบรากฟันมนุษย์ โดยเป็นวัสดุที่ปลอดภัยและเข้าได้ดีกับเนื้อเยื่อ และ เมื่อนำรากฟันเทียม มาใส่ทดแทนบริเวณที่ถอนฟันออกไป รากฟันเทียมจะทำหน้าที่รองรับครอบฟัน และสามารถรับหน้าที่คล้ายฟันจริง ใช้บดและตัดอาหารได้ ทำความสะอาดง่าย ไม่เกิดการผุกร่อน ในส่วนของครอบฟันมีให้เลือกหลายชนิด ชนิดที่เป็นโลหะล้วน จะมีความแข็งแรง แต่ไม่ค่อยสวยงาม ดังนั้น ครอบฟันชนิดนี้จึงเหมาะสำหรับ ใช้กับฟันหลังมากกว่าฟันหน้า
[1] สำหรับกระบวนการทำครอบฟัน หรือ วีเนียร์เคลือบฟันเทียมนั้น ปกติจะใช้ระยะเวลาตั้งแต่เตรียมฟัน พิมพ์ฟัน ส่งรอยพิมพ์ฟันไปที่แลป ลองและใส่ชิ้นงานที่ฟันคนไข้ รวมแล้ว ประมาณ 2-3 การนัดหมาย และใช้เวลาประมาฯ 7-14 วัน ขึ้นกับความยากง่าย และชนิด จำนวนของซี่ฟันที่รักษา

รากฟันเทียม คือ วัสดุไทเทเนียม ที่นำมาขึ้นรูปเลียนแบบรากฟันมนุษย์ โดยเป็นวัสดุที่ปลอดภัยและเข้าได้ดีกับเนื้อเยื่อ และ เมื่อนำรากฟันเทียม มาใส่ทดแทนบริเวณที่ถอนฟันออกไป รากฟันเทียมจะทำหน้าที่รองรับครอบฟัน และสามารถรับหน้าที่คล้ายฟันจริง ใช้บดและตัดอาหารได้ ทำความสะอาดง่าย ไม่เกิดการผุกร่อน ในส่วนของครอบฟันมีให้เลือกหลายชนิด ชนิดที่เป็นโลหะผสมทอง จะมีความแข็งแรง และสวยงาม อีกทั้งยังสามารถรีดและ ขึ้นรูปให้แนบสนิทไปกับรากฟันเทียม แต่ก็มีข้อด้อยคือ ราคาแพง
[1] สำหรับกระบวนการทำครอบฟัน หรือ วีเนียร์เคลือบฟันเทียมนั้น ปกติจะใช้ระยะเวลาตั้งแต่เตรียมฟัน พิมพ์ฟัน ส่งรอยพิมพ์ฟันไปที่แลป ลองและใส่ชิ้นงานที่ฟันคนไข้ รวมแล้ว ประมาณ 2-3 การนัดหมาย และใช้เวลาประมาฯ 7-14 วัน ขึ้นกับความยากง่าย และชนิด จำนวนของซี่ฟันที่รักษา